Photon-counting CT detector receives FDA approval
 
A new advance in computed tomography (CT) technology, developed with support from the US National Institute of Biomedical Imaging and Bioengineering (NIBIB), has been cleared for clinical use by the Food and Drug Administration (FDA). Dr Cynthia McCollough, Director of Mayo Clinic’s CT Clinical Innovation Center, and her team helped to develop the photon-counting detector (PCD)-CT system, which is said to be superior to current CT technology.
CT imaging has been an immense clinical asset for diagnosing many diseases and injuries; however, since its introduction into the clinic in 1971, the way that the CT detector converts X-rays to electrical signals has remained essentially the same. Photon-counting detectors operate using a fundamentally different mechanism to any prior CT detector.
A CT scan is obtained when an X-ray beam rotates around a patient, allowing X-rays to pass through the patient. As the X-rays leave the patient, a picture is taken by a detector and the information is transmitted to a computer for further processing.
“Standard CT detectors use a two-step process, where X-rays are turned into light and then light is converted to an electrical signal,” McCollough explained. “The photon-counting detector uses a one-step process where the X-ray is immediately transformed into an electrical signal.”
In the two-step CT process, the energy of the X-ray is not recorded; with the one-step process, individual X-rays are recorded along with their energy level. As the X-rays rapidly enter the detector they are counted — hence the name photon-counting — and sorted according to their energy. Based on physics principles, this helps identify different materials (eg, iodinated blood, soft tissue, bone) more easily. This specific type of imaging is called multi-energy CT imaging.
“Dual-energy CT requires specialised equipment and is limited to two energies, but with this new detector we have more ‘buckets’ to sort X-ray energies into and that gives us the opportunity to better depict the differences in materials,” McCollough said.
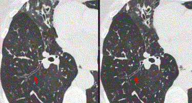
In clinical studies reported in the journal Radiology, up to 47% noise reduction was achieved with the new PCD-CT systems. ‘Noise’ refers to the random nature of X-ray signals, which makes the images more difficult to interpret because of the associated speckle pattern that overlies the true structures in the image.
The new system also lowers the amount of contrast agent needed for CT imaging. CT imaging is effective at visualising blood vessels and tumours, but contrast agents must be used to accomplish this — and while contrast agents are safe for most patients, in certain cases it would be best to give a lower dose if possible. Since there is more signal from the contrast agent with the PCD-CT system, study participants required 30% less contrast agent to achieve the same image quality as with conventional CT systems.
The PCD-CT systems also have better spatial resolution when compared to the conventional systems. In studies, the system achieved the best reported resolution for a clinical CT system. McCollough compared it to a digital camera — the higher the number of megapixels, the finer details one can see.
McCollough and her team at Mayo Clinic have been working on this project with Siemens Healthineers in Germany and Siemens Medical Solutions in the US for the last 10 years. Siemens had been working on a prototype PCD-CT system and with McCollough’s funding from NIBIB the team was able to start scanning patients under Institutional Review Board approval. Over 1100 patients have been scanned in these studies, first on a conventional CT system and then with the new PCD-CT scanner, to show the advantages of the new system.
McCollough is also trying to find other ways to improve CT for clinicians using artificial intelligence (AI). Her group is applying deep learning methods to reduce noise (and radiation dose) without altering the anatomy of the image. She noted, “You can see more with AI processing — it makes a big difference.”
Please follow us and share on Twitter and Facebook. You can also subscribe for FREE to our weekly newsletters and bimonthly magazine.
Virtual pathology streamlines rapid onsite evaluation
Technology from Grundium, a specialist in digital imaging for pathology, has been shown to match...
Cannabis detected in breath from edibles
Researchers say they have made the first measurement of THC in breath from edible cannabis, in a...
Sydney's tap water contains more PFAS than previously thought
Researchers have identified 21 new per- and polyfluoroalkyl substances (PFAS) in Sydney's tap...

 
 
 
 

 
 
